اخبار السعودية
موقع كل يوم -صحيفة سبق الإلكترونية
نشر بتاريخ: ١ تموز ٢٠٢٥
يعطّل وظيفة الأهداب ويقلل كفاءة التنظيف.. وتحذير من مضاعفات تبدأ بكحة وتنتهي بضيق تنفس
حذّر الدكتور خالد النمر، استشاري أمراض القلب وقسطرة الشرايين، من عادة شائعة يمارسها بعض كبار السن تتمثل في استخدام زيت الزيتون لترطيب الأنف بشكل يومي، مؤكدًا أن هذا السلوك غير صحيح طبيًا وقد يؤدي إلى مضاعفات خطيرة.
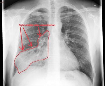
وأوضح النمر أن زيت الزيتون يمكن أن يتسرب إلى الرئتين مع التكرار، مما يسبب نوعًا من الالتهاب الرئوي يُعرف طبيًا باسم Pneumonitis Lipoid، وهو التهاب دهني يظهر بأعراض مثل الكحة، ضيق التنفس، وارتفاع الحرارة، وتُظهر الأشعة علامات واضحة لهذا الالتهاب.
وأضاف أن خطورة هذا التصرف لا تتوقف عند الرئتين فقط، بل تتعداها إلى تعطيل الأهداب (cilia) الموجودة داخل الأنف، وهي المسؤولة عن تنظيفه من الملوثات والأتربة. تراكم الزيت يعيق هذه الأهداب عن أداء وظيفتها، مما يقلل من كفاءة التنظيف الذاتي ويضعف أحد خطوط الدفاع الطبيعية للجسم.
وشدد النمر على أهمية تجنّب مثل هذه الممارسات العشوائية التي لا تستند إلى توصية طبية موثوقة، لافتًا إلى أن بعض العلاجات التقليدية قد تتحول إلى مصادر ضرر خفي، خاصة لدى كبار السن.










































