اخبار السعودية
موقع كل يوم -صحيفة سبق الإلكترونية
نشر بتاريخ: ١٠ أب ٢٠٢٥
تمكّن فريق طبي متخصص في جراحة الصدر بمجمع الملك عبدالله الطبي، عضو تجمع جدة الصحي الثاني، بفضل الله، من استئصال ورم نادر وعالي الخطورة بحجم 15 سم من الجهة اليمنى لتجويف الصدر، باستخدام تقنية المنظار الجراحي، وذلك في عملية دقيقة استغرقت 4 ساعات وتكللت بالنجاح التام.تفاصيل الحالة والتشخيص
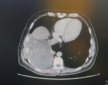
المريض، البالغ من العمر 52 عامًا، حضر إلى عيادات جراحة الصدر بالمجمع وهو يعاني من كحة مزمنة وارتفاع في درجة الحرارة. وبعد إجراء الفحوصات الطبية والأشعة المقطعية، تبيّن وجود ورم كبير يغطي النصف السفلي من تجويف الصدر، وملتصق بالفص الأوسط والسفلي من الرئة والحجاب الحاجز، إضافةً إلى ملامسته الوريد الأجوف السفلي الواقع أسفل القلب، ما جعل حالته بالغة الخطورة.خطة علاجية دقيقة وتدخل فوري
عُرضت الحالة على فريق جراحة الأوعية الدموية، وتم وضع خطة علاجية دقيقة تحسبًا لاحتمالية التصاق الورم بالأوعية الدموية الكبرى. وبشكل عاجل، نُوِّم المريض وجُهّز للعملية التي أُجريت بالمنظار الجراحي للصدر مع فتحة جانبية مساعدة لإخراج الورم لضخامته.نجاح العملية وتحسن الحالة
خلال العملية، نجح الفريق الطبي في فصل الورم عن الرئة والحجاب الحاجز وكذلك عن القلب والوريد الأجوف السفلي دون أي مضاعفات، في إنجاز يعكس كفاءة الكوادر الصحية بالمجمع.
غادر المريض المستشفى في اليوم الرابع بعد تحسن حالته، مع استمرار المتابعة الدورية في العيادات الخارجية.تميز طبي مستمر
يأتي هذا النجاح امتدادًا لمسيرة التميز الطبي في مجمع الملك عبدالله الطبي، ضمن رؤية المنظومة الصحية في المملكة للارتقاء بجودة الرعاية الصحية وتقديم الخدمات بكفاءة عالية تخدم المريض وتضمن سلامته.










































