اخبار السعودية
موقع كل يوم -جريدة الرياض
نشر بتاريخ: ١٠ تشرين الثاني ٢٠٢٥
الرياض - خالد العوفي
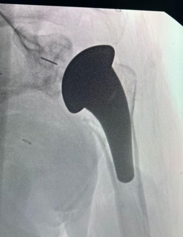
في إنجاز طبي جديد، نجح فريق وحدة الأطراف العلوية بقسم جراحة العظام في مدينة الملك سعود الطبية – عضو تجمع الرياض الصحي الأول – في إجراء أول عملية استبدال كامل لمفصل الكتف لمريضة كانت تعاني من احتكاك شديد في المفصل لأكثر من عامين، مما أثّر على قدرتها على الحركة وممارسة أعمالها اليومية.
وأوضح استشاري جراحة العظام والأطراف العلوية وقائد الفريق الطبي، الدكتور بندر السهلي، أنه تم إجراء الفحوصات والتحاليل اللازمة قبل العملية، بما في ذلك الأشعة السينية والمقطعية والرنين المغناطيسي وفحوصات القلب، لتقييم حالتها بدقة وتحديد نوع التدخل المناسب. وأضاف أن الفريق الطبي أجرى عملية استبدال مفصل الكتف بالكامل باستخدام تقنية متقدمة تُمكّن من تحسين الحركة وتقليل الألم بشكل كبير.
وأفاد الدكتور السهلي بأن العملية تكللت بالنجاح – ولله الحمد – وتمت متابعة المريضة بعد العملية من قبل الفريق الطبي وأخصائيي العلاج الطبيعي، مع وضع خطة تأهيل مخصصة لضمان استعادة الحركة تدريجيًا وتحسين جودة حياتها.
كما أعرب عن فخره بالفريق الطبي المشارِك، الذي ضم كلاً من الدكتور بسام العنزي والدكتور حسين الياسين، مشيرًا إلى أن هذا الإنجاز يُعد خطوة مهمة تعكس التطور الجراحي والمهني في وحدة الأطراف العلوية، مؤكدًا التزام المدينة بمواصلة تقديم رعاية صحية متقدمة مبنية على أفضل الممارسات الطبية.
واختتم الدكتور السهلي شكره للفريق الطبي من أطباء التخدير والتمريض وفريق غرف العمليات على جهودهم وتكامل أدوارهم التي أسهمت في نجاح العملية.










































