×



klyoum.com
saudiarabia
السعودية  ٢١ تشرين الثاني ٢٠٢٥ 

قم بالدخول أو انشئ حساب شخصي لمتابعة مصادرك المفضلة

ملاحظة: الدخول عن طريق الدعوة فقط.

تعبر المقالات الموجوده هنا عن وجهة نظر كاتبيها.

klyoum.com
saudiarabia
السعودية  ٢١ تشرين الثاني ٢٠٢٥ 

قم بالدخول أو انشئ حساب شخصي لمتابعة مصادرك المفضلة

ملاحظة: الدخول عن طريق الدعوة فقط.

تعبر المقالات الموجوده هنا عن وجهة نظر كاتبيها.

موقع كل يوم »

اخبار السعودية

»سياسة» صحيفة سبق الإلكترونية»

نجاح جراحة مُعقَّدة لاستئصال ورم دماغي كبير لشابة بالطائف

صحيفة سبق الإلكترونية
times

نشر بتاريخ:  السبت ١٢ نيسان ٢٠٢٥ - ٢٣:٠٤

نجاح جراحة معقدة لاستئصال ورم دماغي كبير لشابة بالطائف

نجاح جراحة مُعقَّدة لاستئصال ورم دماغي كبير لشابة بالطائف

اخبار السعودية

موقع كل يوم -

صحيفة سبق الإلكترونية


نشر بتاريخ:  ١٢ نيسان ٢٠٢٥ 

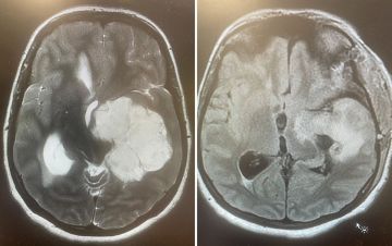
في إنجاز مُتميِّز لفريق 'المخ والأعصاب' بمستشفى الملك عبدالعزيز التخصصي

أعلن الفريق الطبي المتخصص في جراحة المخ والأعصاب بمستشفى الملك عبدالعزيز التخصصي، التابع لتجمُّع الطائف الصحي، نجاح عملية جراحية دقيقة ونادرة، أُجريت لشابة تبلغ من العمر 29 عامًا، تمثلت في استئصال ورم دماغي كبير ومستقر في الفص الصدغي الأيسر، ممتدًّا إلى قاعدة الجمجمة وجذع الدماغ.

وتسبب هذا الورم للمريضة في ضعف حركي تشنجي في الجهة اليمنى من الجسم، إلى جانب اضطراب في التوازن، واختلال في النطق والذاكرة.

وجرى تنفيذ العملية بتقنية مجهرية عالية الدقة عبر تداخُل جناحي صدغي موسع؛ ما أتاح للفريق الطبي استكشاف الشرايين الدماغية والأعصاب القحفية المهمة للحياة، وفصلها بعناية عن كتلة الورم؛ بهدف الحفاظ على سلامتها.

واستمرت الجراحة عشر ساعات متواصلة، نجح خلالها الفريق في إزالة الورم بالكامل دون المساس بالمراكز الحيوية والوظائف الأساسية.

وبفضل الله تحسنت حالة المريضة بشكل ملحوظ منذ الساعات الأولى بعد العمل الجراحي، واستعادت قوتها العضلية والعقلية بصورة كاملة خلال ثلاثة أيام من إجراء العملية، وتمكنت من مغادرة المستشفى في اليوم الخامس وهي بكامل نشاطها الذهني والبدني، مع تحديد موعد متابعة لاحق؛ للاطمئنان على استقرار حالتها الصحية.

موقع كل يومموقع كل يوم

أخر اخبار السعودية:

رسميا.. عمر السومة خارج كأس العرب

* تعبر المقالات الموجوده هنا عن وجهة نظر كاتبيها.

* جميع المقالات تحمل إسم المصدر و العنوان الاكتروني للمقالة.

موقع كل يوم
30

أخبار كل يوم

lebanonKlyoum.com is 2213 days old | 619,620 Saudi Arabia News Articles | 11,047 Articles in Nov 2025 | 175 Articles Today | from 26 News Sources ~~ last update: 7 min ago
klyoum.com

×

موقع كل يوم


مقالات قمت بزيارتها مؤخرا



نجاح جراحة معقدة لاستئصال ورم دماغي كبير لشابة بالطائف - sa
نجاح جراحة معقدة لاستئصال ورم دماغي كبير لشابة بالطائف

منذ ٠ ثانية


اخبار السعودية

بينها إبعاد رنا عبيد خارج البلاد.. 4 قرارات جديدة لوزارة الداخلية اليوم الأحد 6 إبريل - eg
بينها إبعاد رنا عبيد خارج البلاد.. 4 قرارات جديدة لوزارة الداخلية اليوم الأحد 6 إبريل

منذ ٠ ثانية


اخبار مصر

انضمام 21 شركة إلى الدفعة الثانية من البيئة التنظيمية التجريبية للتقنيات الناشئة - sa
انضمام 21 شركة إلى الدفعة الثانية من البيئة التنظيمية التجريبية للتقنيات الناشئة

منذ ٠ ثانية


اخبار السعودية

المؤتمر: الأمن القومي أبرز الرسائل بكلمة الرئيس السيسي بأكاديمية الشرطة - eg
المؤتمر: الأمن القومي أبرز الرسائل بكلمة الرئيس السيسي بأكاديمية الشرطة

منذ ٠ ثانية


اخبار مصر

لفتة إنسانية من ناشئ الزمالك لأحمد رفعت (صورة) - eg
لفتة إنسانية من ناشئ الزمالك لأحمد رفعت (صورة)

منذ ٠ ثانية


اخبار مصر

العراق: بطائرة مسيرة تستخدم لأول مرة.. المقاومة الإسلامية تستهدف إيلات - iq
العراق: بطائرة مسيرة تستخدم لأول مرة.. المقاومة الإسلامية تستهدف إيلات

منذ ٠ ثانية


اخبار العراق

الفائزون بجوائز الكومار الذهبي 2025 - tn
الفائزون بجوائز الكومار الذهبي 2025

منذ ٠ ثانية


اخبار تونس

 زوج هدير عبد الرازق بعد فيديو الضرب: دخلت شقتي بالقوة واستولت على حاجتي - sa
زوج هدير عبد الرازق بعد فيديو الضرب: دخلت شقتي بالقوة واستولت على حاجتي

منذ ٠ ثانية


اخبار السعودية

وزير الخارجية المصري يبحث مع نظيره القطري جهود وقف حرب غزة - ye
وزير الخارجية المصري يبحث مع نظيره القطري جهود وقف حرب غزة

منذ ٠ ثانية


اخبار اليمن

متى يعتزل صلاح لعبة كرة القدم؟ النجم المصري يجيب - eg
متى يعتزل صلاح لعبة كرة القدم؟ النجم المصري يجيب

منذ ثانية


اخبار مصر

تحسن مؤشرات مصر في تقرير التنمية البشرية العالمي لعام 2025.. التخطيط تعلن التفاصيل - eg
تحسن مؤشرات مصر في تقرير التنمية البشرية العالمي لعام 2025.. التخطيط تعلن التفاصيل

منذ ثانية


اخبار مصر

قرار قضائي جديد في قضية محامي المساكنة - eg
قرار قضائي جديد في قضية محامي المساكنة

منذ ثانية


اخبار مصر

بالصور.. افتتاح أعمال تطوير شبكة الطرق الداخلية بمدينة رأس سدر - eg
بالصور.. افتتاح أعمال تطوير شبكة الطرق الداخلية بمدينة رأس سدر

منذ ثانية


اخبار مصر

فازت بجائزة أفضل جناح.. المملكة تختتم مشاركتها في المنتدى العالمي للمياه بإندونيسيا - sa
فازت بجائزة أفضل جناح.. المملكة تختتم مشاركتها في المنتدى العالمي للمياه بإندونيسيا

منذ ثانية


اخبار السعودية

رابط رسمي.. خطوات استخراج صحيفة أحوال معلم 2025 - eg
رابط رسمي.. خطوات استخراج صحيفة أحوال معلم 2025

منذ ثانية


اخبار مصر

أهم الاسئلة لمعرفة خبايا الشخصية - xx
أهم الاسئلة لمعرفة خبايا الشخصية

منذ ثانية


لايف ستايل

أسعار الفاكهة والخضروات في الإسكندرية اليوم الأربعاء - eg
أسعار الفاكهة والخضروات في الإسكندرية اليوم الأربعاء

منذ ثانية


اخبار مصر

اتهام معلمة بممارسة الرذيلة مع قاصر 50 مرة - sa
اتهام معلمة بممارسة الرذيلة مع قاصر 50 مرة

منذ ثانية


اخبار السعودية

 أرامكو السعودية تنتهي من طرح صكوك دولية بقيمة 3 مليارات دولار - sa
أرامكو السعودية تنتهي من طرح صكوك دولية بقيمة 3 مليارات دولار

منذ ثانية


اخبار السعودية

 كيسنجر يشرح استراتيجيات أهم 6 قادة غيروا العالم بعد الحرب العالمية الثانية - eg
كيسنجر يشرح استراتيجيات أهم 6 قادة غيروا العالم بعد الحرب العالمية الثانية

منذ ثانية


اخبار مصر

استثمار قطري ضخم مرتقب.. ما تأثيره على الاقتصاد المصري؟ - qa
استثمار قطري ضخم مرتقب.. ما تأثيره على الاقتصاد المصري؟

منذ ثانية


اخبار قطر

تشييع جنازة شيخ الصحفيين محمد عبد الجواد.. نهاية رحلة 77 عاما من العطاء - eg
تشييع جنازة شيخ الصحفيين محمد عبد الجواد.. نهاية رحلة 77 عاما من العطاء

منذ ثانيتين


اخبار مصر

RT العربية تطلق برنامجا تدريبيا لتأهيل الكوادر الإعلامية بمشاركة 7 دول عربية (صور) - ps
RT العربية تطلق برنامجا تدريبيا لتأهيل الكوادر الإعلامية بمشاركة 7 دول عربية (صور)

منذ ثانيتين


اخبار فلسطين

تعرف على أسعار الطوب المختلفة في مصر اليوم الأربعاء 1-10-2025 - ye
تعرف على أسعار الطوب المختلفة في مصر اليوم الأربعاء 1-10-2025

منذ ثانيتين


اخبار اليمن

سيارات كيا سبورتاج موديل 2025.. المواصفات والأسعار الجديدة - eg
سيارات كيا سبورتاج موديل 2025.. المواصفات والأسعار الجديدة

منذ ثانيتين


اخبار مصر

بعد واقعة كورتوا.. تحرك قضائي لحل أولتراس أتليتكو مدريد - sa
بعد واقعة كورتوا.. تحرك قضائي لحل أولتراس أتليتكو مدريد

منذ ثانيتين


اخبار السعودية

البرتغال تعترف رسميا بالدولة الفلسطينية - eg
البرتغال تعترف رسميا بالدولة الفلسطينية

منذ ثانيتين


اخبار مصر

حرائق متفرقة في الدمام والباحة وجدة.. و الدفاع المدني يسيطر دون إصابات - sa
حرائق متفرقة في الدمام والباحة وجدة.. و الدفاع المدني يسيطر دون إصابات

منذ ثانيتين


اخبار السعودية

رابطة العالم الإسلامي ترحب بقرارات القمة العربية الإسلامية غير العادية - sa
رابطة العالم الإسلامي ترحب بقرارات القمة العربية الإسلامية غير العادية

منذ ثانيتين


اخبار السعودية

بعد الحالة المطرية والرياح الشديدة.. مطارات جدة تعيد جدولة بعض رحلات مطار الملك عبدالعزيز - sa
بعد الحالة المطرية والرياح الشديدة.. مطارات جدة تعيد جدولة بعض رحلات مطار الملك عبدالعزيز

منذ ثانيتين


اخبار السعودية

* تعبر المقالات الموجوده هنا عن وجهة نظر كاتبيها.

* جميع المقالات تحمل إسم المصدر و العنوان الاكتروني للمقالة.






لايف ستايل