اخبار السعودية
موقع كل يوم -صحيفة سبق الإلكترونية
نشر بتاريخ: ١٤ تشرين الثاني ٢٠٢٥
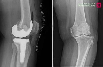
نجح مستشفى الدكتور سليمان الحبيب بالقصيم في إجراء عملية نوعية ناجحة لاستبدال مفصل الركبة اليسرى بتقنية حديثة تُخفّف الآلام وتُسرّع التعافي، منهيةً معاناة سيدة ستينية كانت تعاني من خشونة شديدة واحتكاك حاد وتلف في غضاريف المفصل.
وأوضح الدكتور عبدالله الشهراني، استشاري جراحة العظام واستبدال المفاصل الصناعية ورئيس الفريق الطبي المعالج، أن المريضة حضرت وهي تشكو من آلام وتورم وتغيّر في شكل الركبة وصعوبة في الحركة. وأضاف أن الفحص السريري والفحوصات الدقيقة أظهرت وجود احتكاك حاد وتآكل في عظمتي المفصل، إضافة إلى ارتخاء شديد في الأربطة الجانبية وخلل في حركة عظمة رأس الركبة.
وبيّن الشهراني أن الفريق الطبي درس الحالة بدقة، وتوصّل إلى أن استبدال المفصل بآخر صناعي هو الخيار الأنسب، حيث أُجريت العملية باستخدام مفصل خاص بهذه الحالات وبالاستعانة بأحدث الأجهزة الطبية. واستغرقت العملية نحو 60 دقيقة، وتكللت بالنجاح، إذ تمكّنت المريضة من المشي بعد ساعات فقط من إجرائها، وغادرت المستشفى بعد أيام بحالة صحية جيدة.
وأشار الشهراني إلى أن التقنية المستخدمة تختلف عن الطرق التقليدية، إذ لا تتطلب قطع رباط العضلة الرباعية وتحافظ على الأنسجة المحيطة، مما يقلل الآلام بعد الجراحة ويُسهم في تقصير فترات التنويم والعلاج الطبيعي والتأهيل.
يُذكر أن مجموعة الدكتور سليمان الحبيب الطبية تُقدّم خدمات متكاملة في تخصص جراحة العظام وزراعة المفاصل وفق أعلى المعايير الوطنية والدولية، ويعمل بها نخبة من الكفاءات الطبية المدربة، كما تضم أحدث التقنيات والأجهزة، ما أهلها للحصول على عدة جوائز واعتمادات دولية، أبرزها اعتماد JCI واعتماد SRC، إلى جانب شهادة التميز في جراحة استبدال المفاصل من المؤسسة الأمريكية ذاتها.










































