اخبار مصر
موقع كل يوم -صدى البلد
نشر بتاريخ: ٨ نيسان ٢٠٢٥
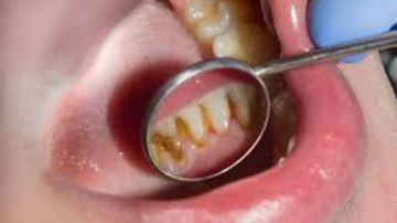
يُعد جير الأسنان من المشكلات الشائعة التي تؤثر على صحة الفم والمظهر العام للأسنان، ويتكون نتيجة تراكم بقايا الطعام والبكتيريا على سطح الأسنان.
يؤدي جير الأسنان مع الوقت إلى التهابات اللثة ورائحة الفم الكريهة، وفقا لما نشر في موقع “ميديكال نيوز توداي”.
وتساعد الطرق الطبيعية في الوقاية أو تقليل الجير السطحي، لكنها لا تغني عن زيارة طبيب الأسنان لتنظيف الجير المتراكم بعمق.
وعلى الرغم هناك أهمية كبيرة لتنظيف الجير عند طبيب الأسنان، إلا أن هناك بعض الطرق الطبيعية التي يمكن أن تساعد في الحد منه أو الوقاية من تكوّنه، وهي كالتالي:
ـ استخدام صودا الخبز (بيكربونات الصوديوم):
صودا الخبز من المواد الفعالة في تنظيف الأسنان وتبييضها، كما أنها تقلل من تراكم الجير:
امزج نصف ملعقة صغيرة من صودا الخبز مع قليل من الماء لتكوين معجون.
استخدمه مرة أو مرتين في الأسبوع فقط لتفادي تآكل مينا الأسنان.
ـ الغرغرة بزيت جوز الهند (الـOil Pulling):
تقنية هندية قديمة تساعد في تنظيف الفم وتقليل البكتيريا:
خذ ملعقة كبيرة من زيت جوز الهند، واغسل بها فمك لمدة 10–15 دقيقة يوميًا قبل غسل الأسنان.
ـ استخدام خل التفاح:
خل التفاح يحتوي على خصائص مضادة للبكتيريا، ويمكن أن يساعد في إذابة الجير:
امزج ملعقة صغيرة من خل التفاح مع كوب ماء، وتمضمض به مرة يوميًا، ثم اغسل فمك بالماء جيدًا.
ـ تنظيف الأسنان بالخيط يوميًا:
الخيط يزيل بقايا الطعام من بين الأسنان ويمنع تراكم الجير في الأماكن التي لا تصل إليها الفرشاة.
ـ تناول الفواكه والخضراوات المقرمشة:
مثل التفاح والجزر والكرفس، فمضغها يساعد في تنظيف الأسنان بطريقة طبيعية وتحفيز إفراز اللعاب، ما يقلل من البكتيريا المسببة للجير.
ـ استخدام فرشاة الأسنان الكهربائية:
تُعد أكثر كفاءة من الفرشاة اليدوية في إزالة البلاك قبل أن يتحول إلى جير صلب يصعب التخلص منه في المنزل.


































