اخبار السعودية
موقع كل يوم -صحيفة سبق الإلكترونية
نشر بتاريخ: ٢٠ تشرين الأول ٢٠٢٥
زيادة الرقم من 30 إلى 52 خلال 4 سنوات تُعد طبيعية.. والمهم السيطرة على المسببات
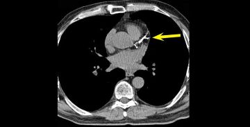
في توضيح طبي، أشار استشاري أمراض القلب الدكتور خالد النمر، إلى أن رقم تكلّس الشرايين (Calcium Score) غالبًا ما يرتفع تدريجيًّا مع التقدم في العمر، ووجود عوامل مثل ارتفاع ضغط الدم والسكري والتدخين، مؤكدًا أن الزيادة البسيطة لا تعني بالضرورة تدهور الحالة الصحية.
وضرب 'النمر' مثالًا بأن من كان لديه رقم تكلّس 30 وأصبح 52 بعد 4 سنوات، فإن هذه الزيادة تُعد طبيعية ومتوقعة، إذ إن المعدل السنوي المقبول عادة لا يتجاوز 20 إلى 25٪.
وشدد على أهمية السيطرة على العوامل المسببة مثل الضغط، والكوليسترول، والتدخين، والوزن، حتى لا تتسارع نسبة التكلّس وتؤثر على صحة الشرايين.
وفيما يخص الوقاية، نصح 'النمر' باستخدام الأسبرين للوقاية الأولية لمن لديهم تكلّس في الشرايين التاجية بشرط توفّر ثلاثة عوامل مجتمعة، هي:
* أن يكون رقم التكلّس أعلى من 100.* أن تتجاوز قيمة معادلة ASCVD نسبة 5٪ خلال 10 سنوات.* أن تكون مخاطر النزيف الناتجة عن استخدام الأسبرين منخفضة.










































