اخبار مصر
موقع كل يوم -صدى البلد
نشر بتاريخ: ٥ أذار ٢٠٢٦
نجح فريق الطبي بقسم جراحة العظام بمستشفى قنا العام، في إنقاذ يد مريض من البتر بعد إصابته بإصابات بالغة نتيجة حادث سير، حيث وصل المريض محولاً من مستشفى الغردقة وتم استقباله والتعامل مع الحالة على الفور بتوجيهات الدكتور محمد الديب مدير مستشفى قنا العام، في إنجاز طبي جديد يضاف إلى سجل النجاحات بالمستشفى.
أجرى الجراحة الدكتور أحمد عبدالرزاق، استشاري جراحة العظام، والدكتور محمد رأفت، استشاري جراحة العظام، وشارك مع الفريق الدكتور أحمد عاشور، استشاري التخدير، والدكتور أحمد حسن، طبيب مقيم جراحة العظام، والممرضة علا أحمد من هيئة التمريض.
ووجه الدكتور محمد الديب، مدير مستشفى قنا العام، الشكر لجميع الأطباء وهيئة التمريض الذين شاركوا في التعامل مع الحالة بداية من فريق الاستقبال مروراً بقسم الأشعة وقسم العظام وحتى فريق العمليات لما بذلوه من جهد كبير وعمل متواصل ودقة في الأداء حتى تكللت الجراحة بالنجاح وإنقاذ يد المريض من البتر.
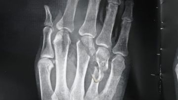
ووأوضح الديب، بأنه بفحص ومناظرة الحالة، تبين أن المريض يعاني من بتر جزئي باليد اليمنى مع قطع كامل بالأوتار الباسطة لليد والأصابع وتهتك بالأعصاب وفقد جزء من الجلد، بالإضافة إلى كسور بالمشطية الثانية والثالثة والرابعة باليد اليمنى.
وتابع مدير مستشفى قنا العام، وعلى الفور تم حجز الحالة وإجراء الفحوصات اللازمة وتجهيزها لدخول غرفة العمليات حيث تم إجراء تدخل جراحي دقيق لإصلاح الأوتار المقطوعة وتثبيت الكسور والتعامل مع الإصابات المصاحبة، مع إعطاء الدم والعلاج اللازم للمريض.
وأضاف الديب، بأن الجراحة تكللت بالنجاح وتم إنقاذ اليد من البتر وتحسنت حالة المريض الصحية، وخرج من المستشفى في حالة تحسن في إنجاز جديد يعكس مستوى الرعاية الطبية داخل المستشفى، مؤكداًبأن هذا النجاح يعكس كفاءة الأطباء وإخلاص هيئة التمريض وروح العمل الجماعي داخل مستشفى قنا العام والحرص الدائم على تقديم أفضل مستوى من الرعاية الطبية للمرضى.


































