×



klyoum.com
egypt
مصر  ٦ تشرين الأول ٢٠٢٥ 

قم بالدخول أو انشئ حساب شخصي لمتابعة مصادرك المفضلة

ملاحظة: الدخول عن طريق الدعوة فقط.

تعبر المقالات الموجوده هنا عن وجهة نظر كاتبيها.

klyoum.com
egypt
مصر  ٦ تشرين الأول ٢٠٢٥ 

قم بالدخول أو انشئ حساب شخصي لمتابعة مصادرك المفضلة

ملاحظة: الدخول عن طريق الدعوة فقط.

تعبر المقالات الموجوده هنا عن وجهة نظر كاتبيها.

موقع كل يوم »

اخبار مصر

»سياسة» المصري اليوم»

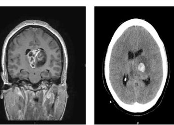
«حلقات متمردة».. علماء يكشفون عن حمض نووي يؤدي إلى تطور السرطان

المصري اليوم
times

نشر بتاريخ:  الأثنين ٨ أيلول ٢٠٢٥ - ١٤:٤٩

 حلقات متمردة .. علماء يكشفون عن حمض نووي يؤدي إلى تطور السرطان

«حلقات متمردة».. علماء يكشفون عن حمض نووي يؤدي إلى تطور السرطان

اخبار مصر

موقع كل يوم -

المصري اليوم


نشر بتاريخ:  ٨ أيلول ٢٠٢٥ 

المصدر: المصري اليوم

«حلقات متمردة».. علماء يكشفون عن حمض نووي يؤدي إلى تطور السرطان

موقع كل يومموقع كل يوم

أخر اخبار مصر:

زيزو ينتصر على الزمالك في اتحاد الكرة| تفاصيل خطيرة

* تعبر المقالات الموجوده هنا عن وجهة نظر كاتبيها.

* جميع المقالات تحمل إسم المصدر و العنوان الاكتروني للمقالة.

موقع كل يوم
22

أخبار كل يوم

lebanonKlyoum.com is 2167 days old | 1,145,922 Egypt News Articles | 7,983 Articles in Oct 2025 | 1,234 Articles Today | from 23 News Sources ~~ last update: 1 min ago
klyoum.com

×

موقع كل يوم


مقالات قمت بزيارتها مؤخرا



 حلقات متمردة .. علماء يكشفون عن حمض نووي يؤدي إلى تطور السرطان - eg
حلقات متمردة .. علماء يكشفون عن حمض نووي يؤدي إلى تطور السرطان

منذ ٠ ثانية


اخبار مصر

مصادر مصرية مطلعة تعلن موعد وطريقة المفاوضات بين إسرائيل وحماس - eg
مصادر مصرية مطلعة تعلن موعد وطريقة المفاوضات بين إسرائيل وحماس

منذ ٠ ثانية


اخبار مصر

 وفا : العلا تعيد صياغة خريطة الأمن العالمي والقرارات تصنع في السعودية - sa
وفا : العلا تعيد صياغة خريطة الأمن العالمي والقرارات تصنع في السعودية

منذ ثانيتين


اخبار السعودية

إعلامي يزف بشرى لجماهير الأهلي - eg
إعلامي يزف بشرى لجماهير الأهلي

منذ ثانيتين


اخبار مصر

اعتصام لسائقي الشاحنات تحت جسر شتورة - lb
اعتصام لسائقي الشاحنات تحت جسر شتورة

منذ ٣ ثواني


اخبار لبنان

ضحايا زلزال الحوز يعلنون العودة للاحتجاج ويردون على المنصوري: لم نجد إنصاتا طيلة عامين - ma
ضحايا زلزال الحوز يعلنون العودة للاحتجاج ويردون على المنصوري: لم نجد إنصاتا طيلة عامين

منذ ٤ ثواني


اخبار المغرب

4 بلديات لا تعترف بالإسكان التنموي - sa
4 بلديات لا تعترف بالإسكان التنموي

منذ ٤ ثواني


اخبار السعودية

استيلاء مافيا العقار على أملاك مخزنية يثير استياء حقوقيين بزاكورة - ma
استيلاء مافيا العقار على أملاك مخزنية يثير استياء حقوقيين بزاكورة

منذ ٥ ثواني


اخبار المغرب

ثماني دول في أوبك تتفق على تعديل إنتاجي جديد في نوفمبر 2025 - ma
ثماني دول في أوبك تتفق على تعديل إنتاجي جديد في نوفمبر 2025

منذ ٦ ثواني


اخبار المغرب

مجلس حقوق الإنسان يدشن آلية للتحقيق في الانتهاكات بأفغانستان - ly
مجلس حقوق الإنسان يدشن آلية للتحقيق في الانتهاكات بأفغانستان

منذ ٦ ثواني


اخبار ليبيا

يستفيد منها 300 أسرة.. قافلة أصول الخيرية توزع ماعز ومواد غذائية على الأسر الأكثر احتياجا - eg
يستفيد منها 300 أسرة.. قافلة أصول الخيرية توزع ماعز ومواد غذائية على الأسر الأكثر احتياجا

منذ ٧ ثواني


اخبار مصر

وصفة اقتصادية.. طريقة عمل كفتة بالبرغل - eg
وصفة اقتصادية.. طريقة عمل كفتة بالبرغل

منذ ٨ ثواني


اخبار مصر

 الري : تحفيز المحصلين لمستحقات الوزارة المالية حال تحقيقهم لمعدلات أعلى - eg
الري : تحفيز المحصلين لمستحقات الوزارة المالية حال تحقيقهم لمعدلات أعلى

منذ ٨ ثواني


اخبار مصر

الرئيس السوري: استقطبنا استثمارات أجنبية بقيمة 28.5 مليار دولار - ye
الرئيس السوري: استقطبنا استثمارات أجنبية بقيمة 28.5 مليار دولار

منذ ٩ ثواني


اخبار اليمن

لأول مرة في تاريخ الطب: أطباء ينجحون في علاج مرض السكري - lb
لأول مرة في تاريخ الطب: أطباء ينجحون في علاج مرض السكري

منذ ٩ ثواني


اخبار لبنان

مرفأ بيروت حصل على شهادة المدونة الدولية لأمن السفن والمرافق المينائية ISPS - lb
مرفأ بيروت حصل على شهادة المدونة الدولية لأمن السفن والمرافق المينائية ISPS

منذ ١٠ ثواني


اخبار لبنان

 التحالف الإسلامي يطلق برنامج التحليل الاستخباري بمشاركة متدربين من 10 دول - sa
التحالف الإسلامي يطلق برنامج التحليل الاستخباري بمشاركة متدربين من 10 دول

منذ ١٠ ثواني


اخبار السعودية

توزيع مساعدات غذائية لسكان منطقتي الحامي والمقد والقرى المجاورة بحضرموت - ye
توزيع مساعدات غذائية لسكان منطقتي الحامي والمقد والقرى المجاورة بحضرموت

منذ ١١ ثانية


اخبار اليمن

العاملين بالتعليم: حرب أكتوبر كانت وبالا على العدو الصهيوني - eg
العاملين بالتعليم: حرب أكتوبر كانت وبالا على العدو الصهيوني

منذ ١١ ثانية


اخبار مصر

جدعون ليفي: العالم لن ينسى إبادة غزة وسيتوارث الناس ذكراها جيلا بعد جيل - jo
جدعون ليفي: العالم لن ينسى إبادة غزة وسيتوارث الناس ذكراها جيلا بعد جيل

منذ ١٢ ثانية


اخبار الاردن

21 شهيدا خلال يوم و67,160 منذ بدء الحرب على قطاع غزة - ps
21 شهيدا خلال يوم و67,160 منذ بدء الحرب على قطاع غزة

منذ ١٣ ثانية


اخبار فلسطين

وسائل إعلام كردية : اختطاف شاب لاستماعه لأغان كردية في ريف حلب - sy
وسائل إعلام كردية : اختطاف شاب لاستماعه لأغان كردية في ريف حلب

منذ ١٤ ثانية


اخبار سوريا

* تعبر المقالات الموجوده هنا عن وجهة نظر كاتبيها.

* جميع المقالات تحمل إسم المصدر و العنوان الاكتروني للمقالة.






لايف ستايل